• En Çok Görüntülenenler
  • Güzellik
  • Sağlık
  • Yaşam
  • Moda
En Çok Görüntülenenler
Yasemin Foto Galeri
YASEMİN'E DÖN
Yasemin YASEMİN'E DÖN
  • Anasayfa
  • YASEMİN
PAYLAŞ

Kalp krizinin belirtisini gösteren kulaktaki o detaya dikkat!

21.01.2023 08:51
6 / 12

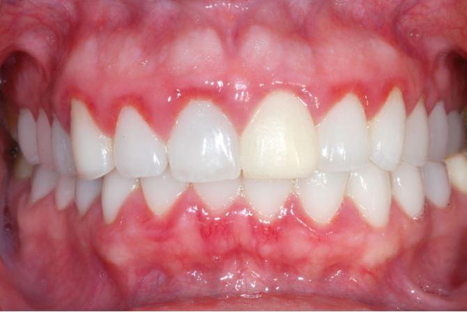
Diş etlerinin kırmızı görüntüde olmaları, kalp krizi riskinin bir belirtisi olan "periodontitis hastası" yani diş eti hastalığı olabileceğinizin bir belirtisidir.

<p><span style="color:#800080"><strong>Diş etlerinin kırmızı görüntüde olmaları, kalp krizi riskinin bir belirtisi olan "periodontitis hastası" yani diş eti hastalığı olabileceğinizin bir belirtisidir.</strong></span></p>
GALERİLER
1
7 gün önce doğum yapan İrem Helvacıoğlu ve minik kızı ölümden döndü!
1 - 7 gün önce doğum yapan İrem Helvacıoğlu ve minik kızı ölümden döndü!
2
3 günde fit görünüm: Kilo verdiren pancar detoksu tarifi!
2 - 3 günde fit görünüm: Kilo verdiren pancar detoksu tarifi!
3
Emine Erdoğan'dan "Yeşil Vatan Seferberliği"ne destek çağrısı: 'Geleceğe umut olalım!'
3 - Emine Erdoğan'dan "Yeşil Vatan Seferberliği"ne destek çağrısı: 'Geleceğe umut olalım!'
4
Doğru ped seçmenin öyle böyle değil ipuçları
4 - Doğru ped seçmenin öyle böyle değil ipuçları
5
Çağla Şıkel 45 yaşında bir hayalini daha gerçekleştirdi! O anlar beğeni topladı
5 - Çağla Şıkel 45 yaşında bir hayalini daha gerçekleştirdi! O anlar beğeni topladı
6
Perinatoloji uzmanı uyarıyor: Hamileler gripten aşıyla korunmalı
6 - Perinatoloji uzmanı uyarıyor: Hamileler gripten aşıyla korunmalı
7
Emine Erdoğan, Katar ziyaretinde Doha İslam Eserleri Müzesi'ni ziyaret etti
7 - Emine Erdoğan, Katar ziyaretinde Doha İslam Eserleri Müzesi'ni ziyaret etti
8
Sonbahar geldi, saçlar dökülmesin! Sonbaharda saç dökülmesini önlemenin doğal yolları
8 - Sonbahar geldi, saçlar dökülmesin! Sonbaharda saç dökülmesini önlemenin doğal yolları
9
Kenan İmirzalıoğlu'nun 'Aile Bir İmtihandır' dizisinde bölüm başına servet kazanacak!
9 - Kenan İmirzalıoğlu'nun 'Aile Bir İmtihandır' dizisinde bölüm başına servet kazanacak!
10
Dünya gastronomisinde Türkiye rüzgarı: 'Dünyanın En İyi 100 Yemek Şehri' listesi açıklandı!
10 - Dünya gastronomisinde Türkiye rüzgarı: 'Dünyanın En İyi 100 Yemek Şehri' listesi açıklandı!
Yasemin
© 2025 Nokta Elektronik Medya A.Ş.