• En Çok Görüntülenenler
  • Güzellik
  • Sağlık
  • Yaşam
  • Moda
En Çok Görüntülenenler
Yasemin Foto Galeri
YASEMİN'E DÖN
Yasemin YASEMİN'E DÖN
  • Anasayfa
  • YASEMİN
PAYLAŞ

Midesinden 19 mıknatıs çıkarılan çocuk doktorları şoke etti!

05.10.2025 17:29
1 / 6

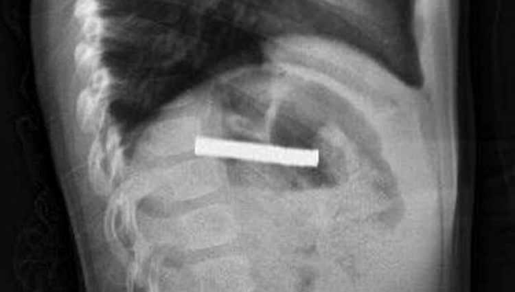
Elazığ’da 3 yaşındaki bir çocuk, rahatsızlanması üzerine hastaneye kaldırıldı. Çocuğun yuttuğu 19 mıknatıs, Fırat Üniversitesi Hastanesi'nde başarılı bir operasyon ile çıkartıldı.

<p><span style="color:#800000"><em><strong>Elazığ’da 3 yaşındaki bir çocuk, rahatsızlanması üzerine hastaneye kaldırıldı. Çocuğun yuttuğu 19 mıknatıs, Fırat Üniversitesi Hastanesi'nde başarılı bir operasyon ile çıkartıldı.</strong></em></span></p>
2 / 6

Edinilen bilgiye göre, Erzurum’da bir çocuk evde bulunan 19 tane mıknatısı yuttu. 

 

<p>Edinilen bilgiye göre, Erzurum’da bir çocuk evde bulunan 19 tane mıknatısı yuttu. </p>

<p> </p>
GALERİLER
1
2026 kış trendlerinde çarpıcı etkiye hazır olun! Cesaretin sesi yükseliyor...
1 - 2026 kış trendlerinde çarpıcı etkiye hazır olun! Cesaretin sesi yükseliyor...
2
Survivor'ın en çok konuşulan ismi Bayhan'dan acı itiraf: Annem gözümün önünde fare zehri içti!
2 - Survivor'ın en çok konuşulan ismi Bayhan'dan acı itiraf: Annem gözümün önünde fare zehri içti!
3
Medipol'den rahim ağzı kanseri paneli: 'Farkında ol, önlemini al'
3 - Medipol'den rahim ağzı kanseri paneli: 'Farkında ol, önlemini al'
4
Emine Erdoğan, Malezya Başbakanı'nın eşi Wan Azizah İsmail ile bir araya geldi
4 - Emine Erdoğan, Malezya Başbakanı'nın eşi Wan Azizah İsmail ile bir araya geldi
5
Hülya Koçyiğit'e kötü haber: Halit Akçatepe’nin kızına tazminat ödeyecek!
5 - Hülya Koçyiğit'e kötü haber: Halit Akçatepe’nin kızına tazminat ödeyecek!
6
Ünlü isimlerden 15 yaş sınırlaması kararına güçlü destek! 'Sosyal medya ateşten bir gömlek'
6 - Ünlü isimlerden 15 yaş sınırlaması kararına güçlü destek! 'Sosyal medya ateşten bir gömlek'
7
Kanser tedavisi gören Ece Vahapoğlu'ndan üzen itiraf!
7 - Kanser tedavisi gören Ece Vahapoğlu'ndan üzen itiraf!
8
8 günde 8 kilo verdi denmişti! Şafak Sezer'in son hali sosyal medyanın diline düştü
8 - 8 günde 8 kilo verdi denmişti! Şafak Sezer'in son hali sosyal medyanın diline düştü
9
Alişan'dan beklenmedik botoks itirafı!
9 - Alişan'dan beklenmedik botoks itirafı!
10
Seda Sayan'ın yüzü tanınmaz halde! Nedenini ilk kez açıkladı
10 - Seda Sayan'ın yüzü tanınmaz halde! Nedenini ilk kez açıkladı
Yasemin
© 2026 Nokta Elektronik Medya A.Ş.